校园动态

当前位置: 首页 > 校园动态 > 正文

临床医学院/附属医院为强直性脊柱炎患者成功实施全髋关节置换术

作者:临床医学院/附属医院 发布时间:2018年03月30日 12:53浏览次数:

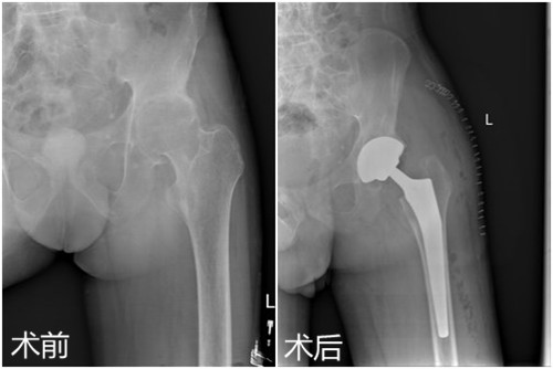
  日前,临床医学院/附属医院骨三科为一名35岁强直性脊柱炎累及双侧髋关节男性患者施行了左侧人工全髋关节置换术,术后恢复良好,目前患者已经可以下地行走。该例手术的成功标志着该院骨科在复杂髋关节置换领域的技术日臻完善。

 

 

  患者田先生,35岁,因身患强直性脊柱炎累及双侧髋关节,行走呈跛行步态,颈部、腰部呈僵直状,只能拄拐行走。两年前,他逐渐出现髋部疼痛不适症状,起初自行在家休息后症状稍有缓解,但两年来上述症状反复出现,并于两个月前明显加重,失去了左侧的行走能力,在当地医院就诊后效果欠佳,慕名来临床医学院/附属医院就诊。临床医学院/附属医院影像学检查显示:左髋股骨头缺血坏死继发关节退变。骨三科朱述浪主任在邀请风湿免疫科专家会诊和多次全科讨论后,决定为患者实施左侧人工全髋置换术,并制定详细的手术方案。手术过程顺利,术后切口愈合良好,术后医护人员对其进行了专业的康复锻炼,患者出院时双侧髋关节屈曲活动度超过80度。患者对临床医学院/附属医院的医疗技术及优质的护理服务予以高度赞扬。

 

  据朱主任介绍,强直性脊柱炎是一种慢性进行性炎性疾病,因初始症状较轻,多被患者所忽略,且早期易于类风湿关节炎混淆,待发展为晚期时大关节可发生畸形和强直,病人多丧失行走能力,形同瘫痪,生活难以自理,给患者及家属带来灾难性的结果。朱主任建议,目前人工髋关节的材料与人体相容性好,设计符合生物力学,可以用30—40年,适合活动较多的年轻人,这类患者应尽早考虑髋关节置换手术治疗,其间生活能恢复自理,生活质量提高,能够大大减轻患者及家庭的负担。

关闭窗口
联系我们

学校地址:江西省九江市前进东路551号   
Email:jjuxb@jju.edu.cn     邮政编码:332005   
招生电话:0792-8310030 8310031    

Copyright © 2020 九江学院版权所有  备案序号:赣ICP备10004574号  赣公网安备36040202000313

访问统计:您是第位访问者